What Are Metabolic Diseases?
Metabolic diseases are a group of disorders that disturb the normal metabolism activity, which is the process of transforming food into energy at the cellular level. These diseases affect the breakdown of proteins, carbohydrates, lipids, and other elements and can be caused by problems with organs such as the liver or pancreas (1). Some common metabolic disorders include:
- Diabetes: A group of metabolic disorders that affect the body’s ability to use insulin (1).
- Obesity: An excess of body fat that frequently results in impaired health and well-being (1).
- Nonalcoholic steatohepatitis (NASH): A type of nonalcoholic fatty liver disorder (NAFLD), which is a condition in which the liver builds up an excess of fatty deposits. NASH is accompanied by inflammation and may cause liver damage (2).
At Cerba Research, we understand that our greatest strength is our people. Our expert teams around the globe can shape your metabolic disease trial with our wide range of safety, specialty, and logistics solutions. Get in touch to learn more.

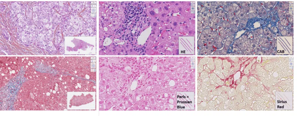
Liver Biopsy Evaluation In NASH
6 Validated Stains, 1 Pathologist Reading Slides


