The complexity of modern oncology trials brings unique challenges, from biomarker identification and validation to stringent regulatory requirements and the need for specialized testing across multiple geographic regions

Success depends on partnering with a laboratory services provider that can deliver scientific excellence, operational efficiency, and global consistency throughout your development journey.

Cerba Research combines deep scientific expertise with global reach to power your oncology programs, whether targeting solid tumors or hematological malignancies. Our comprehensive approach spans from early discovery through late-phase clinical trials, with specialized capabilities in flow cytometry, histopathology, immunoassays, and next-generation sequencing (NGS).

Areas of expertise

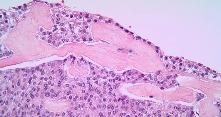
Multiple Myeloma

Our multiple myeloma specialists support a wide range of MM studies from discovery to preclinical studies to phase III registration trials and beyond. 

Over 95% of projects include specialty testing, in particular, flow cytometry (FCM), cytogenetics, qPCR, ddPCR, NGS comprehensive myeloma panels, 250+ IHC simplex and multiplex protocols, and more.

Find out more
Immuno-oncology

PD-L1 detection, tumor mutational burden (TMB), mismatch repair deficient (dMMR), and microsatellite instability-high (MSI-H) status are some of the most crucial tests in I/O clinical development. 

At Cerba Research, we have extensive experience with a wide range of I/O mechanisms, drug classes, specialty testing, and clinically relevant biomarkers.

Find out more
Lung

Our lung cancer specialists support a wide range of lung studies from discovery / preclinical to phase III registration trials and beyond. 

Our projects include specialty testing, such as, NGS broad-panel assays, ctDNA panels, 250+ IHC simplex and multiplex protocols, fluorescence in situ hybridization (FISH), and even NanoString®

Find out more
Colon

Cerba Research conducted many colorectal cancer trials in the past 5 years alone. Our lab expertise extends to the utilization of next-generation sequencing (NGS) broad-panel assays, alongside circulation tumor DNA (ctDNA) panels, 250+ immunohistochemistry (IHC) biomarkers, and more. 

Our CRC specialists support a wide range of colorectal studies from preclinical to phase III registration trials and beyond.

Find out more
Breast

Cerba Research’s laboratory expertise includes clinically validated ER, PR, and HER2 immunohistochemistry (IHC), as well as advanced testing methods such as next-generation sequencing (NGS) broad-panel assays, circulating tumor DNA (ctDNA) panels, and fluorescence in situ hybridization (FISH) and more.

Find out more

Track record of experience and success

170

Oncology trials supported since 2018

~75%

Of trials involve specialty testing

26k+

Screened patients

28

Market authorizations / expansions

Best practice in laboratory testing for oncology clinical trials: leveraging customization and flexibility

With a staggering 28.4 million new cancer cases projected by 2024, the urgency for improved treatments has never been greater. While the rapid advancement of personalized treatments has transformed oncology, it has brought with it a host of new considerations, complexities, and challenges that sponsors must overcome.

This guide shines a light on how adopting agile, flexible solutions such as adaptive trial designs and customizable assays can support oncology trials.

Download the guide
Specialized oncology laboratory services

Our oncology specialists work alongside your team from protocol design through study completion, delivering the scientific insights, global scale,
and operational excellence needed to overcome the challenges of modern cancer research.

Biomarkers

Cerba Research takes a personalized approach to biomarker assay development and validation to help you improve your odds of success.

Leading scientists across a five-continent laboratory network make us the perfect partner to generate early scientific insights that optimize your protocol and provide insight into the most suitable biomarkers and assays for your oncology studies.

More information

Immunoassays

You can rely on Cerba Research to outsource your research questions, including efficacy, safety, passive immunization, immunogenicity, pharmacokinetics, pathogenicity, antiviral therapy, antiviral prophylaxis, drug delivery, resistance mutants, and more.

We can also help design and validate specialty-based assays that account for the complex tumor microenvironment of both solid tumors and hematological malignancies.

More information

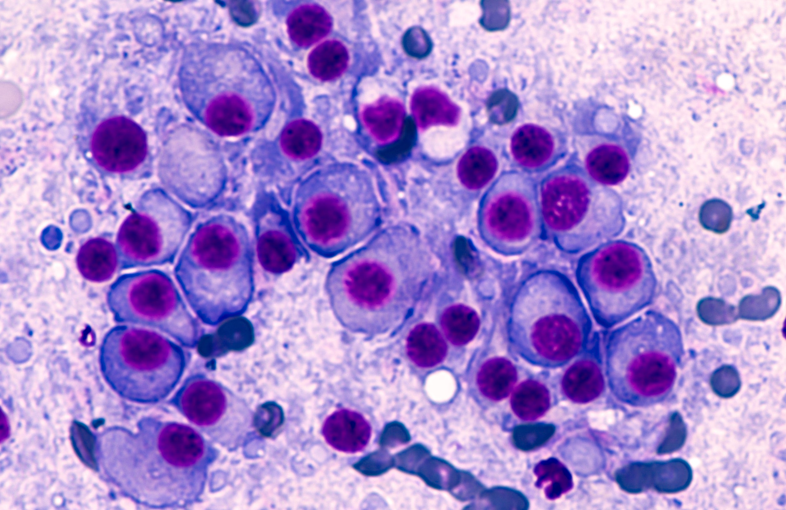
Flow Cytometry

With 25 years of extensive expertise in providing Flow Cytometry testing for clinical trials ranging from pre-clinical to phase III, we have a strong track record of designing, developing and validating custom-made flow cytometry panels.

Use Flow Cytometry to monitor immunophenotyping, immune cell activation, drug receptor occupancy, CAR-T cell functionality across blood samples, bone marrow aspirates (BMA), and cryopreserved PBMCs.

More information

Assay Development and Tech Transfer

Cerba Research also develops tailor-made molecular assays and is highly experienced in all phases of assay development.

Have ultimate confidence in the design and validation of specialty-based assays that account for the complex tumor microenvironment of both solid tumors and hematological malignancies.

More information

Next Generation Sequencing

Leverage Cerba Research’s three decades experience in genomic sequencing to support your research.

Broad panel assays for NGS of haematological malignancies and solid tumors (OncoSign) enable you to unlock the genomics information from your specimens.

More information

Bioinformatics

Delivering timely, high-quality data in the appropriate formats is crucial to the success of clinical trials. 

Cerba Research has developed unique pipelines specifically for the analysis of NGS data. Our team of experienced scientists and bioinformaticians work together to provide fully GxP and FDA compliant pipelines that have been scientifically validated. Set up your data transfer formats following CDISC standards.

More information

Get in touch to explore the speciality laboratory services that can support your clinical trials

FAQs

The Cerba OncoSign 600+ is our comprehensive genomic profiling panel that analyzes 638 genes associated with cancer. This broad-panel Next Generation Sequencing (NGS) assay is designed to unlock critical genomic information from your specimens, enabling detection of rare and actionable driver mutations. The OncoSign 600+ can determine tumor mutational burden (TMB), microsatellite instability (MSI), and homologous recombinant deficiency (HRD) status, providing valuable insights for patient stratification and therapeutic targeting. This advanced panel is particularly valuable for identifying biomarkers that may predict response to targeted therapies and immunotherapies.

Cerba Research offers extensive IHC and histopathology services through our global laboratory network, with over 250 validated biomarkers available for human tissues. Our capabilities include IHC simplex and multiplex protocols, fluorescence in situ hybridization (FISH), and various staining techniques. We provide comprehensive tumor-specific testing across multiple cancer types, including lung, breast, colorectal, and others. Our histopathology services feature an integrated process with digital pathology, international network of board-certified pathologists, advanced image analysis using Halo® and Visiopharm® software, and AI-assisted quantification tools. We have particular expertise in PD-L1, HER2, ER/PR, and other critical cancer biomarkers.

With 25 years of extensive expertise in Flow Cytometry (FCM), Cerba Research offers customized panel design, development, and validation for hematological malignancies and cell & gene therapy (CGT) studies. Our services include monitoring immunophenotyping, immune cell activation, drug receptor occupancy, and CAR-T cell functionality across blood samples, bone marrow aspirates, and cryopreserved PBMCs. We have specialized experience with multiple myeloma phenotypic assays, CAR-T enumeration for secondary endpoint assessment, and impurity panels to check CAR-T expression on non-T cells. Our FCM laboratories are strategically located in New York, Ghent, Shanghai, Taipei, and Sydney, ensuring global accessibility with harmonized protocols.

Cerba Research provides Minimal Residual Disease (MRD) detection through multiple complementary technologies. We offer flow cytometry-based MRD detection following Euroflow protocols for hematological malignancies, particularly in multiple myeloma studies. While NGS- based MRD detection represents an emerging area in our testing portfolio, we have the technical capabilities to develop and implement these advanced assays. Our scientific team can work with you to design the optimal MRD detection approach for your specific study needs, utilizing our expertise in both traditional and innovative detection methods to support your clinical endpoints.

Cerba Research has conducted approximately 170 oncology trials since 2018, with a balanced portfolio across solid tumors (55%) and hematological malignancies (45%). Our work has contributed to 28 market authorizations and expansions, including 4 approved Cell and Gene Therapies (CGTs) and 6 Immuno-Oncology products. We’ve supported clinical trials across all phases, with particularly strong experience in Phase I and II studies. Nearly 75% of our oncology trials include specialty testing services, and we’ve processed samples from over 26,800 screened patients. Our experience spans multiple indications including relapsed or refractory multiple myeloma, metastatic breast cancer, neuroblastoma, non-small cell lung cancer, and many others.

Cerba Research offers the Cerba OncoSign ctDNA panel (50 genes) designed specifically for liquid biopsy applications in solid tumors. This circulating tumor DNA panel enables non-invasive genomic profiling, allowing detection of driver mutations, monitoring of treatment response, and identification of resistance mechanisms through a simple blood draw. Our ctDNA capabilities can be used for various applications including treatment selection, detecting minimal residual disease, and longitudinal monitoring of tumor evolution. We can customize our ctDNA approach based on your specific study needs, with options to develop new panels or add genes to existing panels to target specific biomarkers of interest for your trial.

Cerba Research maintains the highest regulatory standards across our global laboratory network. Our facilities hold various accreditations including CAP/CLIA (College of American Pathologists/Clinical Laboratory Improvement Amendments) in our US locations, with our New York laboratory also having New York State Department of Health certification. Our European facilities are ISO 15189/17025 accredited, while our Asia-Pacific laboratories maintain both ISO accreditations and CAP certification. Specifically, our Flow Cytometry hub in New York is CAP/CLIA accredited, our Ghent facility holds ISO 15189 (BELAC) and CAP/CLIA certifications, our Shanghai laboratory maintains ISO 15189 (CNAS) and CAP accreditations, and our Taipei location is CAP certified. These comprehensive accreditations ensure our facilities meet stringent quality standards for clinical trial testing.