The Breast Cancer challenge
Breast cancer represents one of the most complex and heterogeneous malignancies, demanding sophisticated laboratory testing approaches. Diverse molecular subtypes require tailored treatment strategies, from hormone receptor-positive to HER2-positive and triple-negative breast cancers, as such, finding the right laboratory partner becomes critical to success.
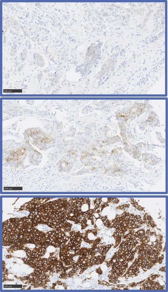
The complexity of breast cancer biomarker testing, including ER, PR, HER2 status determination, Ki-67 proliferation markers, and emerging targets like PIK3CA mutations, requires a collaborator with deep expertise in immunohistochemistry, next-generation sequencing, and advanced analytical techniques.
Our specialists support the full spectrum of breast cancer studies from discovery through phase III registration trials, providing the specialized testing capabilities and regulatory expertise.
Here’s an overview of the unique solid tumour offerings at Cerba Research: